03-6274-5333
東京都中央区銀座5丁目5-16 銀座テーラービルディング7F
    
    噛めることは、健康であるということ。
        健康であるために美しくい続けること。
        80歳近い患者さんでも、美しく、健康的で、なんでも食べられる。審美性の大切さをつくづく実感します。
        
        近年、健康寿命と噛めることの関連性が医科、歯科の分野で問われています。特に寝たきり率との関連性は、歯科医師の仕事が多くの患者さんのQOL(生活品質の向上)に影響を与える可能性があり、使命感とともにやりがいを感じるところです。
        口唇や口腔周囲筋との調和がとれている。
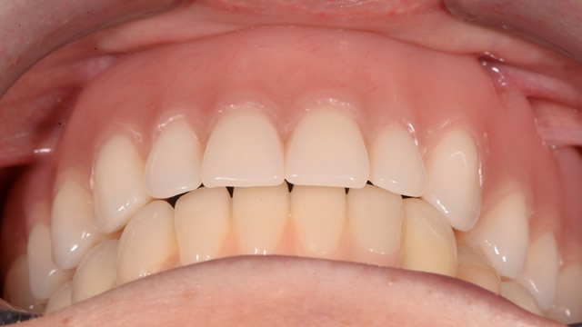
歯並びの美しさは、機能性、快適性に優れお顔を若々しく彩ります。これを私たち歯科医師は機能美と考えています。
        歯の先端は、下唇のドライウエットライン(濡れ部と乾燥部の境界線)のわずかに内側に来ることで、口を閉じやすくなります。
        食事中に頬や舌を噛んでしまうのは、この配列がうまくなされていないことが大半を占めます。
      
        粘膜面への吸着
歯を失うと、顎の骨は必ず吸収してしまいます。入れ歯(義歯)の内面を粘膜に精密に密着させることで陰圧となり吸着感が得られます。
        しかし義歯の辺縁には、たくさんの筋肉が走行しており、筋肉の動きが適正に組み込まれていなければ、義歯が外れる方向に動いてしまいます。
        良い入れ歯は、鼻の下を伸ばしたり、噛み締めた後に大きく口を開けても落ちてきません。
        また適正な機能圧が粘膜を刺激し、顎の骨の吸収の進行を遅らせます。決して、入れ歯安定材などに頼らないことをお勧めします。
          
        
        噛み合わせが安定している
粘膜面が吸着しても噛み合わせが安定していなければ、揺さぶられてしまい結果的に粘膜が傷ついたり、空気が入り込んで外れてしまいます。
        適正な歯の形態が与えられることで、サクサクと弱い力で最大の咀嚼効率が得られます。
      アクセス
銀座テーラービルディング7F