咬み合わせアレーズ銀座歯科 東京都中央区銀座5丁目5-16

03-6274-5333

東京都中央区銀座5丁目5-16 銀座テーラービルディング7F

噛み合わせ治療例

患者様とともに考え、
将来を見据えることからはじめます。
予防歯科との連携により、
高品質のオーダーメイドの
歯科医療サービス。

咬み合わせ(噛み合わせ)・顎関節症(顎の痛み、口が開かない)治療例1

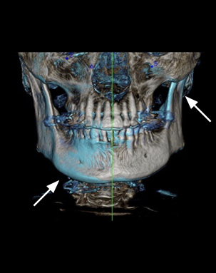
顎関節のCT画像では、関節間の隙間が広がり楽な位置に変化した

白色が咬み合わせを治す前のCT画像
水色が治した後のCT画像
左にズレていた顎の位置が正しい位置に改善された

表情の変化
左(向かって右)の咬筋の張りがなくなり、口角も左右対称に落ち着いている

咬み合わせのページへ戻る

アクセス

アレーズ銀座歯科

03-6274-5333

Fax: 03-6274-5335

東京都中央区銀座5丁目5-16

銀座テーラービルディング7F